부주상골이 심해지면 평발로 모양이 바뀌기도 해
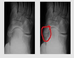
인구의 10% 정도만 생기지만 어미 뼈와 새끼 뼈가 잘 붙어있으면 모르고 지낸다. 하지만 성장 시기인 청소년기에 발을 삐거나 과격한 운동을 하여 당하는 부상으로 두 뼈가 어긋나면 문제가 발생한다. 어긋난 두 뼈가 부딪혀 통증과 염증을 일으킨다.
주상골은 쿠션 역할을 하는 발아치의 천장 역할을 한다. 인대가 이를 잡아주어 높게 유지되나 인대가 부주상골에도 붙어버리면 힘이 약해서 주상골이 내려앉는다. 이를 방치할 경우 아치가 내려앉아 평발이 될 수 있다.
이를 치료하기 위해선 발 아치를 받쳐주는 깔창을 착용해야 하며 이를 착용할 경우 무리 없이 스포츠 활동까지 가능하다. 어린 학생들의 경우 깔창을 착용하면 떨어졌던 부주상골과 주상골이 붙기도 한다. 통증이 심하면 수술해야 하지만 부주상골이 인대와 신경이 붙어있어 대수술이 되기 때문에 수술을 자제하는 편이다.
